JOINTS IN MOTION
As said by IFL science
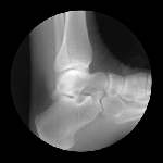
Cameron Drake of San Francisco has created a collection of magnificent images showing joints in motion. He was aided by orthopedic physician Dr. Noah Weiss and the finished product is completely amazing. If you’d like to know more about the project, please check out Drake’s blog.









